Category Archives: Dental Articles
How Diabetes and Hormonal Imbalance Accelerate Gum Disease
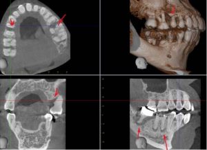
This Africo-Carabian lady presented with the following Clinical & Radiographic FindingsLower Left Quadrant (LLQ) – [...]
31
Jan
Jan
Periodontist vs Dentist: When Do You Need a Gum Specialist?
As a patient, when you need a dentist, you usually refer to attending a dental [...]
31
Jan
Jan
Types of Dental Crowns and Costs in the UK: A Complete 2026 Guide
In recent years, there have been significant advances in ceramic and zirconia materials. These developments [...]
29
Jan
Jan
